|
|
楼主 |
发表于 2010-5-19 19:23
|
显示全部楼层
回复 135# gjs661
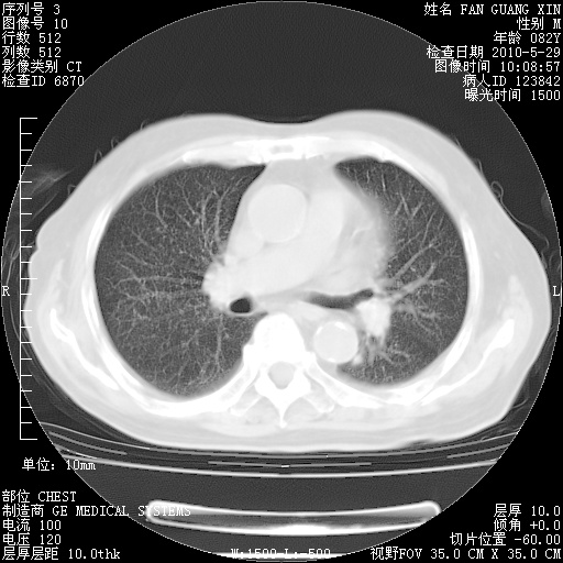
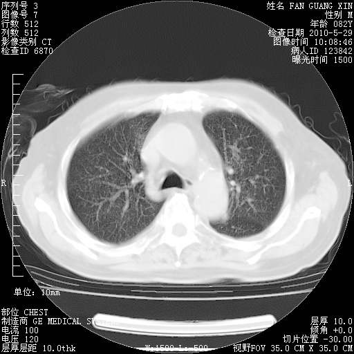
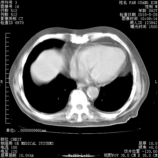
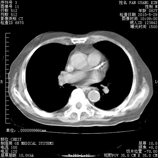
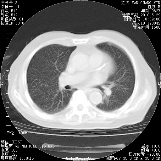
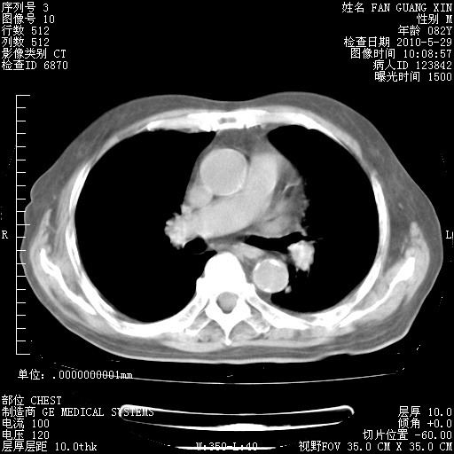
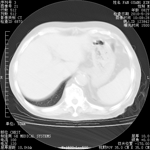
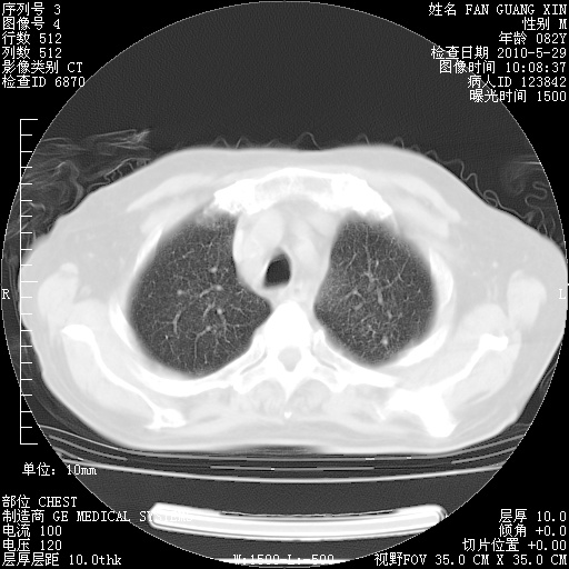
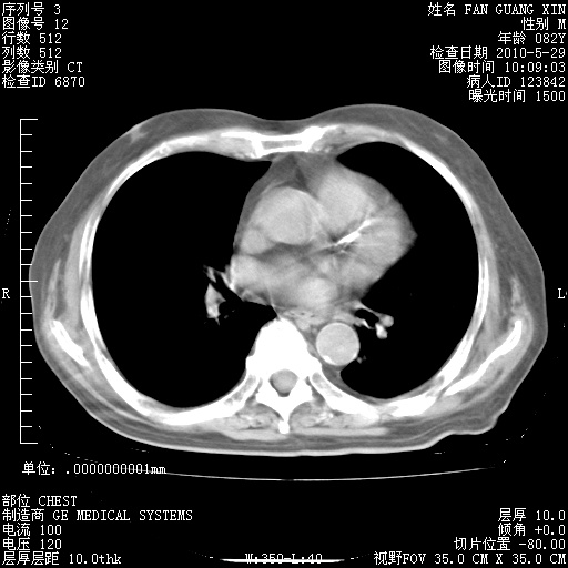
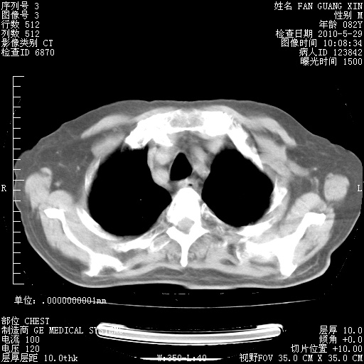
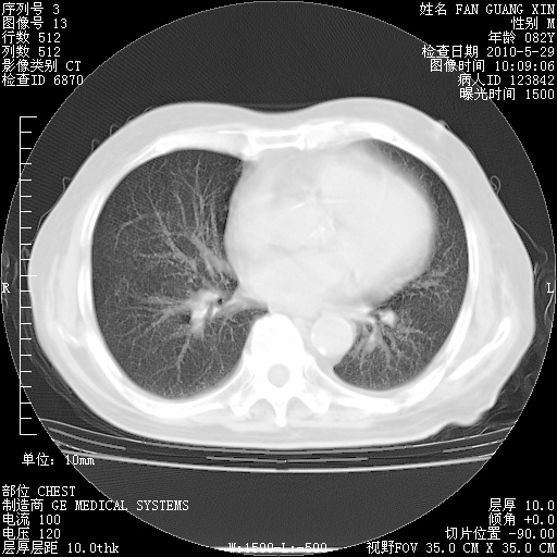
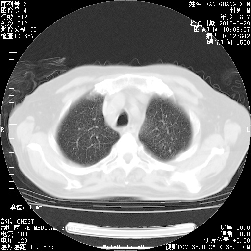
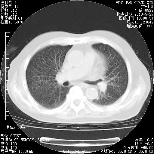
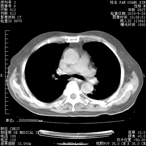
还需要哪些辅助检查?我们医院排除真菌感染没有任何检验方法,胸片好像能够排除肺部真菌感染。
补充:ENA化验全部阴性。免疫五项(IgG、IgA、IgM、C3、C4)只有C4略高。
CD3+ T细胞/淋巴细胞 46% (参考值50.00~84.00%)
CD3+CD4+ T细胞/淋巴细胞 21% (参考值27.00~51.00%)
CD3+CD8+ T细胞/淋巴细胞 25% (参考值15.00~44.00%)
CD3+CD4+ T细胞/CD3+CD8+ T细胞 0.84 (参考值0.71~2.78)
T细胞亚群是治疗5天采血。
明天复查血常规、血生化? |
|