微信登录,快人一步
只需一步,快速开始
使用道具 举报
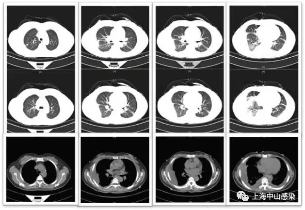
二进制 发表于 2017-1-6 05:01 “患者虽然做了血培养,但缺少痰培养。做痰培养。” 主题内容提及:患者为干咳、无痰。痰培养、涂片不能 ...
本版积分规则 发表回复 回帖并转播 回帖后跳转到最后一页
查看 »